Gynäkologie in der Tierklinik Lüneburg

Gynäkologie

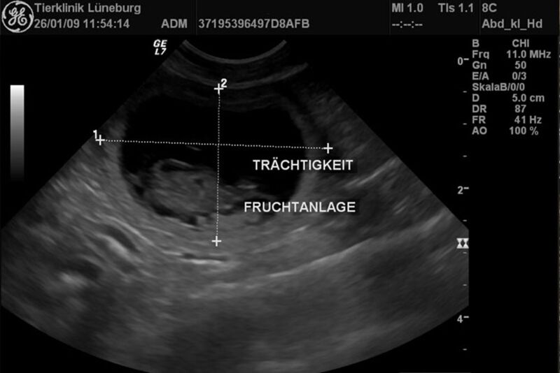
Die Gynäkologie erfasst in unserer Klinik den gesamten Bereich der Fortpflanzung, wie die Bestimmung des optimalen Deckzeitpunkts, den Trächtigkeitsultraschall bis hin zu Geburtshilfe und Kaiserschnitt.

Durch unsere hochauflösenden Ultraschallgeräte können wir ab dem 21. Tag der Trächtigkeit den Fetus und dessen Herzschlag im Dopplerverfahren darstellen.